2022年9月19日
目の下のクマ(くま)、たるみに対する結膜面アプローチによる下眼瞼形成術の治療成績-5
目の下のクマ(くま)の原因とその治療の詳細
目の下のたるみの原因は、加齢に伴う下眼窩脂肪の前方脱出であるのに対し、 目の下のクマ(くま)は、下眼瞼の解剖学的構造の不具合が原因である可能性が高い。我々日本人の祖先はモンゴロイドと呼ばれる北方系東洋人や南方系東洋人、さらには西アジア方面からやってきた民族など、遺伝子レベルでは他民族が混血化した東洋人である。
そのようなモザイク遺伝子を保持する我々は、眼窩や眼窩脂肪の大小の不整合や、下眼瞼の解剖学的構造の不具合が発生していても不思議ではない。目の下のクマ(くま)は下眼瞼皮膚の下垂が原因となって、下眼瞼の陰影が強調された状態である。下眼瞼皮膚の下垂は、下眼窩脂肪内を横走し下眼窩脂肪を深層骨部から浅層皮膚に連結させるLockwood、Wang Wei靱帯が、皮膚と皮下組織を下垂位に固定する解剖学的不整合から発症していると思われる。
この状態では、Nasojagal Fold(いわゆる”目の下のハの字”)の陰影を目立ち、下眼窩脂肪の膨らみを暗い影として強調する。さらに皮下組織の薄い症例では、下眼瞼皮膚を通して、豊富な血行を伴ったオレンジ色調の強い下眼瞼脂肪が光を透過吸収し、下眼瞼皮膚がいかにも黒っぽい色素を伴っているかのように見える。このように下眼瞼の陰影を強調する複合的要因が重なった状態を総じて、目の下のクマ(くま)と我々は認識する。
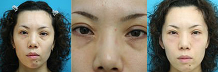
したがって目の下のクマ(くま)治療は、下眼窩脂肪前方膨隆部を適切に除去した後、Lockwood、Wang Wei靱帯を解離し、下眼瞼皮膚を下眼窩骨や皮下組織から解放することが主体となる。この操作により、下眼瞼部位で間延びした皮膚は、下眼窩骨、皮下から自由となり、収縮挙上する。その結果、下眼瞼皮膚の下垂は改善され、目の下のクマ(くま)は大幅に目立たなくなる。以上のように、目の下のクマ(くま)治療は、目の下のたるみ治療と異なり、いわゆる脱脂中心に行うのではなく、下眼瞼で間延びした皮膚を皮下組織から解離、挙上させることが主体となる。目の下のクマ(くま)治療の症例 症例は33歳、女性で当院を訪れる7年前に他院にて目の下のクマ(くま)に対する眉毛下皮膚切開法による下眼瞼形成術を受けた。治療前写真Fig. 8-a,bの如く、他院で治療を受けたにもかかわらず、依然として明らかな目の下のクマ(くま)が残存していた。また下眼瞼眉毛直下に過去の切開治療による皮膚切開瘢痕が観察される。当院での再治療は経結膜的下眼瞼形成術を行い、軽度に存在した下眼瞼余剰脂肪を除去した。その際、下眼瞼皮下組織と下眼窩骨を結合するRockwood 靱帯を切離し、下垂位にあった下眼瞼皮膚を自由化し、挙上させた。Fig. 8-iの如く、摘出された下眼瞼脂肪量は右<左で、少量であった。 治療翌日Fig. 8-c,dを観察すると、両下眼瞼の明らかな腫脹を認めたが、今回が再治療であるため、通常より腫れが大きく出現したと思われる。治療1週間後の写真Fig. 8-e,fを見ると、治療翌日に顕著に出現した下眼瞼の腫脹は大幅に解消されたことがわかる。治療1ヶ月後の写真Fig. 8-g,hを見ると、治療前に認められた目の下のクマ(くま)症状は明らかに改善されたことがわかり、本人も治療結果に大変満足した。 この症例のように、目の下のクマ(くま)の原因は下眼瞼脂肪より、むしろ下眼瞼皮膚構造の不具合による下眼瞼皮膚下垂がその主な原因であり、下垂した下眼瞼皮膚を挙上させうる操作を行ったところ、症状の著しい改善が得られた。
Fig. 8(左から順にa,b,c,d,e,f,g,h,i) Fig. 8-a,b
33 year old female. Preoperative front and enlarged view around the eye.
Scar at subcilicary region suffered from previous operation was found.
Tear trough and darkness of lower eyelid are remarkable.
Fig. 8-c,d
One day after the operation. Swelling is relatively prominent.
Fig. 8-e,f
One week after the operation. Swelling of lower eyelid was mostly subsided. However, chronic swelling of orbicularis oculi muscle still remains.
Fig. 8-g,h
One month after the operation. Excellent result was obtained.
Fig. 8-i
The amount of the lower orbital fat was relatively small.



それ以外の目の下のクマ(くま)(クマ)要因
従来まで目の下のクマ(くま)は、目の下の色素沈着や血行障害がその主な原因とされ、いわゆる”青クマや茶クマ”など、その色調による医学的根拠に乏しい分類がなされていた。 当クリニックに目の下のクマ(くま)治療に訪れる患者さんの問診によると、以前、化粧品やマッサージなどのエステ的加療、レーザー照射など美容皮膚科的治療を試みたが、症状がまったく改善しなかったとの経歴がほとんどだった。
これらの患者さんは、目の下のクマ(くま)に対するさらなる改善策を模索した結果、最終的に手術的治療を選択せざるを得なかった。そういった患者さんに、経結膜的下眼瞼形成術により、目の下のクマ(くま)の解剖学的原因を根本から修正した結果、ようやく期待する結果が得られた。このことからも目の下のクマ(くま)の原因は、下眼瞼色素沈着症や血行障害よりも、むしろ下眼瞼の解剖学的不具合が主な原因があることが示された。
だが、目の下のクマ(くま)の場合、この症状を増強させる皮膚自体の色素沈着についても言及しなければならない。一般的に眼周囲皮膚は薄く、アトピー性皮膚炎に代表されるアレルギー性皮膚炎に罹患すると、眼周囲への色素沈着が顕著となる。また喫煙者ではニコチンの血管収縮作用、ビタミンC破壊作用、さらに暗色タール成分の影響で、色素沈着を起こすことが示されれている。(13,14)
外科的治療対象となる目の下のクマ(くま)と、外科的治療対象となり得ない皮膚自体の色素沈着の鑑別診断は、目の下のクマ(くま)症状だけではなく、上眼瞼皮膚の色素状態を観察することでなされる。つまり、上眼瞼皮膚に色素沈着が顕著ではない場合、下眼瞼皮膚の暗色調はその色素沈着が主な原因とは言えず、上述の如く、下垂した下眼瞼皮膚の影響による見せかけの陰影が目の下のクマ(くま)を形成している可能性が高い。一方、 上眼瞼皮膚に色素新着を伴う場合、目の下のクマ(くま)(クマ)は、 見せかけの陰影のみならず、 皮膚炎や喫煙をによる本当の色素沈着が重複していると思われる。
色素沈着が原因の目の下のクマ(くま)は、外科的療法のみでは完治しないことがあり、さらなる症状改善には皮膚漂白作用のあるビタミンC内服やスキンケア(ハイドロキノロン、ビタミンC塗布など)、皮膚色素を軽減させるレーザー照射療法などが必要となる。(15)
だがその治療効果は緩徐であるから、根気強く繰り返して治療に望む必要がある。また眼周囲の色素沈着の背景にあるアレルギー性皮膚炎自体の治療や、喫煙習慣のある方の場合、直ちに禁煙することが、根本的解決に直結することは言うまでもない。
これまでに述べてきたように、目の下のクマ(くま)とたるみ治療は、各々の症状について、それらの原因の優先順位を的確に判断した上で、治療手技を改変させる必要がある。だが原則的にどちらの治療においても用いられる治療技術はほぼ同一であり、その根本となる手技を習得すると、ほぼすべての目の下のクマ(くま)、たるみ症例を解決できるであろう。