2022年9月19日
目の下のクマ(くま)、たるみ治療後にしわは発生するか?
Q:皮膚を切らない目の下のクマ(くま)、たるみ治療(経結膜的下眼瞼形成術)を行うと、目の下にしわが出来るので、皮膚切開をすべきとか、下眼瞼に脂肪注入を行ったほうが良いと他院で言われたのですが、それは本当ですか?
A:他院でのその意見は必ずしも正しくありません。
当クリニックでは過去7年間で6500例近くの下眼瞼形成術を行いましたが、皮膚切開法を用いたり、脂肪注入した例は、その中の1%以下に過ぎません。 クリニックによって、皮膚を切らない目の下のクマ(くま)、たるみ治療に、必ず脂肪注入や脂肪移動をさせたりするようですが、そういった処置が必要な症例はまれですから、必ずしも同時に行う必要はありません。 そういった処置は万が一必要な場合のみに、治療からの完全な回復を待った上で、行うべきでしょう。すなわち、少なくとも治療後6ヶ月程度経過した上で、そのような処置が必要か判断すべきであり、早急な追加治療は避けるべきです。 何故なら、人体には再生能力があり、下眼瞼皮下組織に行ったレーザー治療の治癒再生反応は皮下深部から始まり、時間経過とともに皮膚浅層へと伝播してゆきます。 この再生反応は治療後10ヶ月程度継続し、最終的に表皮再生までなされます。従って、その最終結果が得られた上で、必要な場合のみ次のステップを検討するのが賢明です。 下写真で、その再生過程を検証します。 61歳男性の典型的な目の下のたるみ症例です。

下写真は治療1ヶ月後の状態ですが、この時点では目の下に小じわ等が認められます。

治療約10ヶ月後の写真ですが、下眼瞼の処置は何をしなくとも、自然治癒(再生)過程で、治療1ヶ月後に存在した小じわ等が解消されていることがわかります。

上記症例の最終結果を見ると、完璧な結果とは言えません。さらなる改善を求めるとすれば、ヒアルロン酸や脂肪注入などを行うと良いかもしれません。しかし、本人はこれ以上の改善を必ずしも要求しておらず、年相応の結果が得られたことに十分満足しています。

この男性の場合、治療前は目の下のたるみが他の顔面部位よりもきわだって老化を感じさせていましたが、この症状を解消することにより、顔全体が平均化しました。したがって、これ以上目の下の状態を改善する優先順位が低くなりました。 今後、さらなる顔全体のアンチエイジング(若返り)を望むのであれば、下眼瞼よりも額のしわや頬のしみ、頬のたるみ改善の方がその効果は高いでしょう。
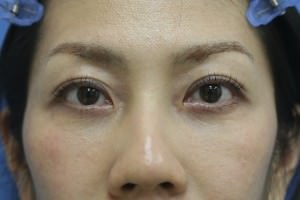
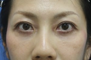
次は38歳女性の症例です。

治療1ヶ月後、目の下のクマ(くま)(クマ)は改善していますが、しわは依然、残存しています。

治療3ヶ月後、自然治癒(再生)過程で、何の処置をしなくともしわ等は消失しています。

この症例をよく観察すると、治療後目の下のクマ(くま)、たるみがのみではなく、上眼瞼のくぼみや目の開きも改善されたことがわかります。下眼瞼は眼瞼全体の土台となるので、この部位の不具合を解消すると、眼周囲のバランスが適切となり、美容的価値のみならず、眼瞼下垂症の予防など機能的効果が得られます。