2022年9月19日
目の下 くま(クマ)治療の危険性(リスク)について
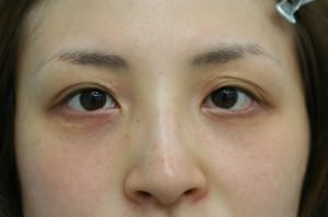
目の裏側(経結膜的)から行う目の下 くま(クマ)治療は、従来までいわゆる”脱脂”と呼ばれる下眼窩脂肪抜去が一般的でした。しかし”脱脂”のみを行うと下記症例写真の如く、いわゆる”目の下のへこみや窪み”が発症する危険性があります。 この症例は中国にて数年前、いわゆる”脱脂”をされましたが、黒矢印の如く典型的な目の下のへこみや窪みが観察されます。その原因として、下眼窩、内側脂肪のみを抜去(脱脂)したためにこのような状態に陥ったと思われます。

このような目の下の窪みやへこみをもたらすと、治療を受けた患者様は治療前よりも症状が悪化したと認識し、この結果に対していわゆる”クレーム”となり、悩みを深めてしまう結果となります。 したがって目の下 くま(クマ)治療において、このような不良結果を確実に回避することが絶対必須条件となります。 当クリニックではこの患者様の修正を行いました。治療は再度目の裏側から皮下組織に侵入し、前回の治療で発生した下眼窩内側皮下組織と皮膚の癒着を解離しました。次に外側の皮下組織剥離を行い、下眼瞼皮膚の最バランス化を図りました。その上で内側脂肪抜去部に少量の自己脂肪移植を行い、下眼瞼皮膚の平坦化を行いました。 こういった問題を起こさないための治療法は、脂肪除去量を最小限とし、その代わりに皮膚自体の挙上(リフトアップ)をもたらします。その結果、目の下の窪みやへこみなどの問題が確実に回避されます。その主な理由は”脱脂”のように脂肪を抜去せずに、むしろ脂肪を可能な限り残すため下眼瞼脂肪の取りすぎが発生しないからです。 この方法では下記症例の如く、これまで手術治療不可能と思われた目の下 くま(クマ)にも功を奏するようになりました。 経過:この症例は20代後半のいわゆる目の下 くま(クマ)症例です。眼周囲にアレルギー性皮膚炎を併発しているため、色素沈着が認められます。皮膚科にてアレルギー性皮膚炎が目の下 くま(クマ)の原因と診断され、治療を受けましたが、目の下 くま(クマ)は改善しませんでした。皮膚科治療以外にもエステ、サプリメント服用、マッサージ等を試みましたが、やはり症状は一向に改善しなかったようです。当クリニックがこういった眼周囲治療を専門にしていることを知り、来院しました。


考察:この症例の場合、遺伝的に継承した皮下組織の構造上不具合により、その上にある皮膚が間延びしているため、アレルギー性皮膚炎による色素沈着が強調されています。アレルギー性皮膚炎による色素沈着を一気に解消することは現実的に困難なことが多いようです。こういった問題を解決するにはアレルギー体質自体を改善するという、長期間にわたる地道な努力が必要となります。 しかしアレルギー体質が改善され色素沈着が減少したとしても、下眼瞼構造に不具合がある場合、依然目の下 くま(クマ)は効果的に改善されません。したがってアレルギー性皮膚炎による色素沈着がある場合でも、治療は下眼瞼形成術を第一選択肢とすべきです。 下の治療後写真を観察すると、治療前に間延びしていた皮膚が治療後は収縮し、目の下の くま(クマ)が大幅に減少したことがわかります。 この治療(経結膜的下眼瞼形成術)のポイントはいわゆる”脱脂”を最小限にし、その代わり皮膚と皮下組織の剥離を十分に行い、間延びした皮膚を挙上させることです。そうすることで”脱脂”による目の下のへこみや窪みなどの危険性(リスク)をほぼ確実に回避することが出来ます。


では従来までのいわゆる”脱脂”治療と当クリニックで行う経結膜的下眼瞼形成術の違いを図解します。 “脱脂”は下図の黒矢印の如く縦に脂肪を引き抜くイメージで治療します。その際、仮に内側の眼窩脂肪を取りすぎたとすると、下図赤ラインのように皮膚にへこみや窪みが発生する可能性があります。

それに比較して当クリニックで行う経結膜的下眼瞼形成術は下図矢印の如く横方向に脂肪を削りながら、皮膚の平坦化を確保しながら、皮膚挙上を図ります。したがって皮膚は赤ラインの如く直線的でへこみや窪みが出る可能性はほとんどありません。
