経過
30歳を過ぎた頃より、目の下のしわが気になり始めました。それが次第に立体化し始め、不安になったそうです。目の下のたるみ除去をするのに、切開法を用いるとダウンタイムが長くなったり、傷跡の問題が生じる不安があったため、踏み切れないでいたようです。さまざまなクリニックをインターネットで調べているうちに当院を見つけました。
治療方針
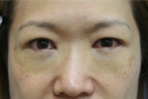
治療前写真-1,2の如く、軽度の目の下のたるみが認められます。この症状は下眼瞼過剰脂肪によるもので、目の下が腫れて見えたり、しわやたるみのラインが認められます。また目の下にいわゆる下眼瞼過剰脂肪が存在すると、眼球自体が過剰脂肪に埋もれてしまうので、ので、目が小さく見えることが特徴的です。このような症状の原因である目の下のたるみを解消すべく、経結膜的下眼瞼形成術を行いました。
治療後の評価
治療直後の写真-3,4を観察すると、腫れは最小限であることがわかります。
治療1週間後の写真-5,6を観察すると、お化粧(メイクアップ)で隠しているため、腫れの程度について正確な判断は出来ません。よく観察すると右目の眼輪筋(いわゆる”涙袋”)が腫れていますが、この腫れも一時的であり、時間の経過とともに改善するでしょう。
治療1ヶ月の写真-7,8を観察すると、右目眼輪筋(いわゆる”涙袋”)はややむくんでいますが、改善傾向にあります。下眼瞼の色素沈着は依然残存していますが、時間とともに解消されるでしょう。
治療3ヶ月後の写真-9,10 を観察すると、色素沈着や眼輪筋の腫れもほとんど消失し、適正な治療結果が得られ始めました。
治療6ヶ月後の写真-11,12を観察すると、治療結果は治療3ヶ月後とほぼ同様に安定しました。治療前に比較すると、眼周囲の圧迫感がとれ、余裕のある優しい目元に改善されました。
