診察
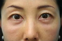
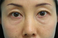
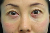
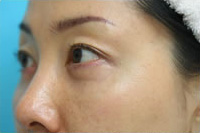
両“目の下のたるみ”を認めます。眼窩下縁に沿ってハの字に広がった赤っぽい“目の下のクマ(くま)”も同時に認めます。
眼領域を含めた身体所見上、特に異常なし。
血圧120/70mm Hg、脈拍64
既往歴;とくになし。
喫煙;なし。
飲酒;なし。
脂肪量;右 = 左(両外側に軽度の脂肪蓄積あり)
色素沈着;特に認めない。
しわ;左眼輪筋直下にやや認める。
蒙古ひだ:ほとんどなし。
脂肪量;中等度。
眼球突出;なし。
経過
4年前くらいから目の下のクマ(くま)、たるみが気になり始めました。
2年前に目の下に他院にてヒアルロン酸を注入しましたが、すぐに吸収されてしまったとのことです。さらに半年前、ヒアルロン酸を再度注入しましたが、あまり効果を認めず、やはりまた再吸収されてしまったそうです。それ以外に主な美容医療の経験は特にありません。
治療方針
症例写真1~4のように、皮膚が薄めで、目の下の過剰脂肪がくま、たるみとなって現れた症例です。
目の下の皮膚にしわなどは少なく、良い状態で保たれています。過剰脂肪の摘出、および目の下の皮膚のリフトアップ効果を狙い、目の裏からのたるみ治療を行なうこととしました。
治療後の評価
治療直後の写真5、6を見ると、麻酔の影響で目の周りが黄色く見えます。しかし、この黄色みは治療後1~2時間で消失します。
除去した脂肪を観察すると、黄色よりオレンジ色が強く、このような方の目の下のクマ(くま)は、赤っぽく見えることが多いのです。
治療2日後の写真7、8を見ると、目の下のクマ(くま)、たるみは改善しているのがわかります。
目の下の直下に存在する眼輪筋、いわゆる“涙袋”が腫れています。この腫れのために、脂肪を除去してたるみを改善した部分がやや深く見えます。
しかし、この腫れは治療後1~2週間で落ちつくことが予想され、その頃には自然な感じとなります。
治療1週間後の写真色-9、10を観察しますと、眼輪筋(いわゆる”涙袋”)のむくみはまだ残っていますが、目の下のクマ(くま)、たるみが改善されていることがわかります。
治療1ヶ月後の写真-11~14では眼輪筋(いわゆる”涙袋”)のむくみもほぼ正常範囲まで戻ったことがわかります。
この頃から患者様の満足度は高くなります。しかも、その効果は通常、永久的であるのがこの治療の優れているところです。
