診察
治受診時の診察で、他医院で15年前に行われた下まぶたの切開によって、軽度の下まぶたの外反(いわゆる”あかんべー”)を認めました。目の下のクマ(くま)、たるみの原因となる過剰脂肪が認められました。
経過
15年前より、目の下のクマ(くま)、たるみが気になって他美容外科を受診。診断は目の下の皮膚が余っているせいだと言われ、25万円を支払い目の下の切開術を受けました。余っていた皮膚を取り除いたものの、目の下のクマ(くま)、たるみは改善せず、この症状はどうすることも出来ないと思いあきらめていました。
数週間前、当クリニックのホームページを見て、目の下のクマ(くま)、たるみの原因が過剰脂肪であることを知り、当クリニックを受診されました。
治療方針
目の下の裏(結膜面)からの治療による過剰脂肪の摘出治療の適応と判断し、治療を行うことにしました。
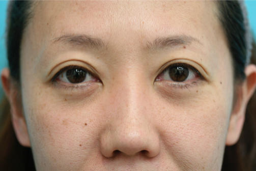
治療後の評価
(1)治療前正面です。明らかな目の下のクマ(くま)、たるみが過剰脂肪により生じています。
(2)治療前正面拡大です。左右差をよく見ると左の脂肪量がやや多く見えます。
(3)治療前斜め拡大です。目の下のたるみ、色素沈着を認めます。
(4)治療後横拡大です。横から見ると、脂肪による膨らみを認め、目の下のクマ(くま)、たるみの主な原因が過剰脂肪であることがわかります。
(5)治療直前のデザイン風景
(6)デザイン後
(7)治療直後の正面です。やや目が赤くなっています。これは麻酔がさめる約1時間後には元に戻ります。
(8)治療直後正面拡大です。麻酔によるむくみ等がややありますが、すでに目の下のクマ(くま)、たるみは改善されています。治療直後でもほとんど他人には気がつかれません。軽いお化粧も可能です。
(9)治療直後斜めです。斜めから見ても、目の下のクマ(くま)、たるみが改善しているのがわかります。白っぽく見えるのは麻酔による影響ですが、約一時間で元に戻ります。
(10)治療直後側面です。過剰脂肪による目の下のふくらみが消失しているのがわかります。
(11)~(18)治療後一週間です。どの写真を見ても、腫れはほぼ引いており、正常な状態に戻ったと言えます。
この患者様の長年の目のくま、たるみのコンプレックス(悩み)が解決して、すっきりされたようです。 まだ、一週間ですので、多少のむくみが残っています。最終的に落ち着くのは数週間後で、目の感じはさらに自然になることが予想されます。多くの患者様が気になさる、治療後のしわ、くぼみ、色素沈着も時間の経過とともにさらに目立たなくなります。
目のくま、たるみの除去とその後のスキンケアは別物として考えるべきです。この女性の場合、過剰脂肪による目のくま、たるみにはもう二度と悩む必要はありません。脂肪細胞を除去しているので、再度脂肪がつくことはないからです。 今後の課題としては、スキンケア(ビタミン含有ローション、ハイドロキノンなどの塗布、ケミカルピーリング、イオン導入など)によって、しわ、色素沈着をケアしてゆけば良いでしょう。
従来までは、目のくま、たるみとしわを一気に解決するために、目の下の皮膚切開によって過剰脂肪と余剰皮膚を切除していましたが、この治療法にはいくつかの欠点があります。
1)目の下に傷口を残すこと
2)社会復帰(ダウンタイム)が長いこと。何故なら目の下を縫合して、1週間後に抜糸をしなければならない。
3)いわゆる”あかんべー”(目の下が外反)して不自然さを残す可能性があること。
4)外側まで切開をして、涙袋(眼輪筋)を切断すると、涙袋が平になってしまい、魅力的な眼力を失う可能性があること。
目のくま、たるみを目の裏側から脂肪を除去することで治療すると、これらの欠点は一つも起こりません。ですからこの患者さんのように、まずは目のくま、たるみを目の裏から治療し、その後もし、気になるしわがある場合はスキンケアで治療する方が、皮膚切開法よりずっと安全なのです。
