診察
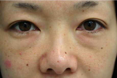
色素:両目内側に赤い色素沈着を軽度認める。
目の下の脂肪量:比較的大量 右=左
蒙古ひだ:なし。
眼球突出:なし。
身体所見上:特に異常なし。
美容治療経験:なし。
経過
数年前から目の下のたるみが気になっていたそうです。インターネットで目の下のクマ(くま)、たるみを検索して 当クリニックを探し当てました。彼女は現在の目の下のたるみを改善できるのであれば治療を強く希望されています。
治療方針
写真-1~4を観察すると、目の下に比較的大量の脂肪が存在します。この過剰脂肪の存在が目に圧迫された印象を与えると同時に、目の下のたるみの直接原因となっています。この症例の場合、目の裏から行う目の下のクマ(くま)、たるみ治療が最適です。
治療後の評価
治療直後の写真-5,6を見ると、治療直後から目の下のたるみが改善されています。除去脂肪を観察すると、比較的大量の脂肪が左右ほぼ同等に摘出されました。治療翌日の写真-7,8を観察すると、治療後の腫れはほとんどなく、目の下のたるみが十分に消失しています。この症例は私がこれまで治療した約3500例の中で、翌日の腫れが最も少ない症例の一つです。
治療後1週間の写真-9,10を見ると右目の眼輪筋(いわゆる“涙袋”)が依然ややむくんでいます。このむくみは治療後数週間で落ち着くことがほとんどです。
治療1ヶ月後写真-11~14の写真を見ると、右目の眼輪筋(いわゆる”涙袋”)の腫れも引き、治療後の結果としてほぼ落ち着きました。
