診察
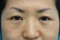
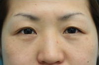
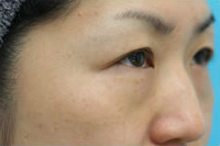
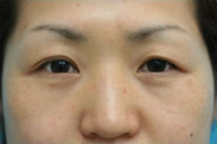
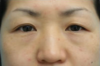
治療前写真1~4を観察すると、この患者様の場合、皮膚が厚めなので、目の下のたるみはそれほど目立ちません。
しかし、全体的に目の周りの脂肪に覆われていて、目が小さく見えます。さらに、斜めからの写真を観察すると両目の下で過剰脂肪が前に出ていることがわかります。
また、脂肪の存在する場所はやや赤っぽく見えます。この過剰脂肪により、眼輪筋(いわゆる“涙袋”)全く見えず、表情に乏しい印象を与えています。
経過
数年前から目の下のたるみが気になっていました。この“目の下のたるみ”に関して、この患者様はご自分のことを“幸が薄そうに見える”と感じており、長年なんとかしたいと思っていたようです。いくつか美容外科を訪れてたところ、目の下の皮膚を切開する方法を勧められたそうです。しかし、顔に傷がつくのを恐れ実際に治療に踏み切るまでには至らなかったとのことです。最近になって、インターネット検索により当クリニックを見つけ、皮膚を切ることなしに“目の下のたるみ”を改善できることを知って受診されました。
治療方針
年齢が37歳と“目の下のたるみが”気になりだす年齢と言えます。眼輪筋(いわゆる“涙袋”)と目の下の脂肪の間にはしわが現れ始めています。明らかな“目の下のたるみ”はまだ出現しておりませんが、その傾向は年々強くなると言えるでしょう。最近になって、患者様自身が “目の下のたるみ”が気になりだしこと自体、この治療の適応と考えてよいでしょう。この患者様の場合の治療方針として、
(1)目の下の過剰脂肪を目の下の皮膚が平らになるまで均一に除去すること。
(2)目の下の皮膚を余分な脂肪が取り除かれた位置にリフト・アップさせること。
を行うことにしました。
この治療によって期待できる効果は、
(1)過剰脂肪による目の下の膨らみが減り、赤い皮膚色の改善、眼輪筋(いわゆる“涙袋”)と過剰脂肪の間にできているしわが薄くなる。
(2)目の下の皮膚がリフト・アップされ、眼輪筋(いわゆる“涙袋”)が現れ、表情豊かな若々しい目元を獲得できる。
(3)目の下の過剰脂肪による目の周りの圧迫感が減るため、目が軽くなる。目を圧迫していた脂肪を除去することで目の開きが良くなり、目が大きく見える。
(4)今のうちに目の下の過剰脂肪を除去することで、加齢とともに悪化する目の下のたるみやしわを効果的に予防できる。
上記の効果を期待して“目の裏からアプローチする目の下のたるみ改善治療”を行いました。
治療後の評価
この患者様の場合、一見すると、目の下のクマ(くま)、たるみはさほどひどくありません。それはこの患者様の皮膚が厚く、その下の過剰脂肪が皮膚の上に直接的に反映されていないからです。
しかし、厚い皮膚とともにこの過剰脂肪の存在により、“目が埋もれた”ような印象が強いと言えます。この傾向は加齢とともに悪化されることが予想されます。
治療直後の写真5、6を見るとおわかりのように、過剰脂肪が除去され、目の印象が軽くなったように見えます。
しかし、治療翌日の写真7、8を観察すると目の下がむくんでいることがわかります。特にむくみは右目で顕著と言えます。
しかし、このむくみは一時的で治療後3日目の写真9、10ではこのむくみがすでに引き始めていることがわかります。その結果、眼輪筋、(いわゆる涙袋)が少しずつ現れ始めています。
治療後1週間の写真11、12では目の下の腫れが引いてきたことがわかります。しかし、眼輪筋(いわゆる涙袋)のむくみはまだ残っており、右目のほうがやや大きくなっております。このむくみはあと1週間程度で少しずつ引いてゆくでしょう。
治療後18日目の写真14-16をご覧ください。眼輪筋、”いわゆる涙袋”のむくみもかなり取れてきました。このむくみは治療後4週間でほぼ正常にまで戻ります。治療前の写真と比較すると、顔に占める目の大きさが増し、顔が若々しくなりました。
治療後一ヶ月の写真17-20を観察すると、治療後しばらく生じていた眼輪筋(いわゆる”涙袋”)のむくみも取れ、治療結果として満足のいく所まで到達したと言えます。
治療にはある程度の腫れやむくみは伴いますが、これらの症状は約一ヶ月で必ず落ち着きます。
