診察
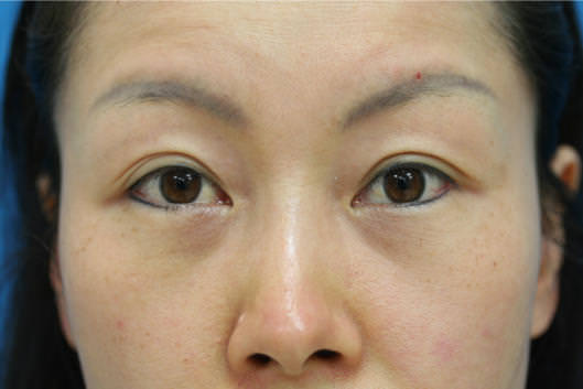
治療前写真-1の如く、軽度の目の下のたるみ及び目の下クマ(くま)症状を認めます。症状はやや右>左です。
経過
この患者さんは、昨年放映された目の下のたるみ治療に関するテレビ報道番組を見て当クリニックを知ったとのことです。ご自分にも同様の症状があり、その解決策を求めて来院しました。
治療方針
典型的な目の下のたるみ症例であり、皮膚切開を用いない目の裏側から行う下眼瞼形成術を行いました。
治療後の評価
治療直後の写真-2を観察すると、腫れは了解可能範囲内であり、特に内出血等も認めませんでした。治療翌日の写真-3では両下眼瞼腫脹を認めます。治療7日後の写真-4を観察すると、両下眼瞼腫脹はほぼ解消されていますが、同部位に治療後に典型的な炎症性色素沈着を認めます。治療1ヶ月後の写真-5を観察すると、炎症性色素沈着が次第に解消され、良好な結果が得られ始めています。治療後3~6ヶ月程度経過すると、最終的に良好な結果が得られる事が一般的ですので、この期間はあせらずにメイクアップ等を利用しながらお待ちになるのが賢明です。
