診察
目の下の脂肪量:中~多量 右<左が特に多い。
蒙古ひだ:なし。
眼球突出:なし。
身体所見上:異常なし。
過去の治療経験:なし。
経過
10代前半の頃から目の下のクマ(くま)、たるみが気になっていたそうです。その症状は歳を重ねるごとに悪化しているそうです。
数ヶ月前、他人から「目の下のクマ(くま)がひどいけれど、どうしてそんなに疲れているの?」と指摘され、愕然としたようです。この出来事を契機に、思い切って目の下のクマ(くま)、たるみ治療を受ける決意に至ったとのことです。
治療方針
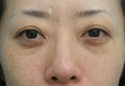
治療前写真-1~4を観察すると、目の下のクマ(くま)、たるみが目立っているのがよくわかります。たるみは特に左側で目立ちます。
ご本人は左目のたるみが強いため、治療後の皮膚のたるみ、しわ等を心配されています。しかし、皮膚切開法による目の下のクマ(くま)、たるみ治療は受けたくないとのことです。
年齢と皮膚の状態から、左目の下の皮膚は治療後に収縮すると判断し、目の裏からの目の下のクマ(くま)、たるみ治療を行うことにしました。
治療後の評価
治療直後の写真-5,6を見ると、眼輪筋(涙袋)の腫れが目立ちます。たるみの強い左目は治療直後には皮膚が縮んでいないため、まだ目の下のたるみが残っているように見えます。治療2日後の写真-7,8を見ると、たるみの強かった左目の下の皮膚も縮み始め、たるみが目立たなくなってきています。
治療1週間後の写真-9,10を見ると、眼輪筋(涙袋)の腫れが目立ちます。この腫れは今後1~2週間で落ち着くでしょう。
ご本人は目の下のたるみ部分に残っているしわを気されています。こういった症状は時間の経過とともに改善してゆきます。もし、早期の治療を望む場合は、ヒアルロン酸注入などのスキンケア治療を行うと良いでしょう。
多くの方が目の下のクマ(くま)、たるみ治療後の皮膚のたるみ、しわ等の発生を心配されています。しかし、皮膚は予想以上に収縮する能力がありますから、皮膚自体のたるみやしわ症状を過剰に心配する必要はありません。
従来まで、目の下のたるみが強い場合、目の下の皮膚切開法による治療が一般的でした。しかし、皮膚切開法を用いなくても、目の裏からの治療で十分に目の下のクマ(くま)、たるみを改善できることがこういった症例から証明されています。
治療1ヶ月後の写真-11~14を観察すると、両目下の眼輪筋(いわゆる涙袋)の腫れもほぼ回復しました。
ご本人は目の下の色素沈着と右目の下のしわ等を気にされています。
このような症状は時間の経過とともに改善し、治療後3ヶ月程度でほぼ落ち着きます。もし、早期に改善を望むのであれば、スキンケア治療を行うと良いでしょう。
