診察
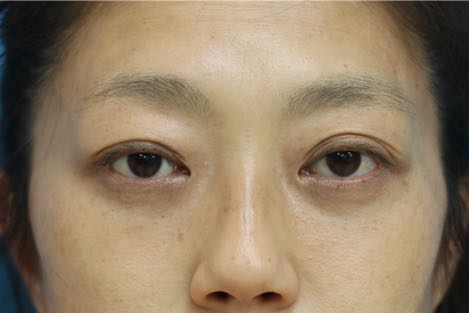
治療前写真-1,2ではやや非対称な下瞼膨隆と、そこに生じた陰影がクマを強調しています。また、軽度の開眼不全(眼瞼下垂症)を認めその症状は右<左であり、その特徴として左上眼瞼二重幅が右より広くなっています。
経過
下瞼クマ・たるみ症状の解消を求め、ネット検索で当クリニックを見つけ来院したお客様です。
治療方針
系結膜的・下眼瞼形成術を行いました。
治療後の評価
治療直後の写真-3,4では局所麻酔による眼窩(眼球包括するスペース)への一時的影響を認めますが、同症状は局所麻酔が消える頃に解消されます。
治療翌日の写真-5,6では下瞼の腫れは最小限度ですが、腫れによる若干の開眼不全を伴っています。
治療1週間後の写真-7,8ではこの時期必発の眼輪筋(涙袋)・腫脹が顕著で、同部位が一時的に色濃く見えますが、同症状は眼輪筋(涙袋)腫れ解消ともに次第に消失します。
治療3ヶ月後の写真-9,10では治療1週間後に出現した眼輪筋(涙袋)の腫れが解消しましたが、眼輪筋部(涙袋)陰影はまだ完全解消されてません。しかしこの時期の朗報としては治療前に存在した軽度眼瞼下垂症がやや改善され、以前より目の開きが良くなったことです。
治療1年後の写真-11,12ですがこの程度時間が経過すると所謂”症状固定”、つまり安定した結果が得られ、その証拠に治療3ヶ月後に残存していた眼輪筋(涙袋)・慢性腫脹による陰影増強も大幅に消失し、クマ・たるみから解消された目元となりました。また上眼瞼下垂症がやや改善され、少なくとも左上眼瞼の二重幅が縮小し、より自然な目元が得られました。
まとめ
本症例から分かるのは、この治療後に良いお結果が得られるには早くて1ヶ月、通常でも2〜3ヶ月程度かかり、その後改善効果は遅延化しますが、最終的には治療1年後に”症状固定”、つまり安定した結果が得られます。
従って同治療をお受けの方は、治療数週間から1ヶ月後程度までは決して焦らず、良好な結果が得られるまで辛抱する心構えが必要です。もし治療後しばらくしても腫れが続いたり、症状が安定しなくても、治療1〜3ヶ月後頃になると必ず良好な結果が見え始めること、更に、もしその回復期間内に少しでも早期に良い結果を得たい場合はそれなりの対処法もありますので、その際は是非クリニックまでお越し頂き医師の診察を受けて頂けたらと思います。
さてこの下瞼治療の副次効果ですが、本症例の如く下瞼治療しか行わなかったものの、上眼瞼下垂症がやや改善したことです。この現象が何故起こるかについて簡単に説明すると、上下眼瞼は構造的にその後部で連続性があるので、下瞼治療を行いその負荷(眼窩脂肪や、やや窮屈に張った靱帯の開放操作)を軽減すると、その好影響が間接的に上瞼まで伝承され開眼効果が得られるからです。
従って眼瞼下垂症が気になる方もまずは下瞼治療を行い、下瞼症状解消と同時に開眼効果を得た上で、更に必要な方のみ上眼瞼形成術(眼瞼下垂症改善・治療)を行うと、同治療における開眼操作は軽度で済むので、より自然な目元が得られやすいことが分かっており、当クリニックでは同治療も専門的に行っておりますから、気になる方はどうぞご相談ください。
