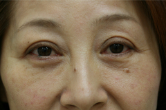
診察
写真-1,2の如く目の下のクマ(くま)を顕著に認めます。その症状は右<左です。また中等度の眼瞼下垂症状もあり、その程度は同様に右<左です。左上眼瞼には陥没症状を認めますが、これも眼瞼下垂を引き起こす眼瞼挙筋と瞼縁の腱板接合部の弛緩が原因と思われます。
経過
20年以上前から目の下のクマ(くま)症状が出現し始めたそうです。その頃から目の開きが悪くなる、いわゆる眼瞼下垂症状が悪化しはじめたとのことです。これらの症状の改善を求め、当クリニックに来院しました。
またこの患者さんは、近視のため長年(30年以上)ハードコンタクトレンズを装用していたようです。
治療方針
目の下のクマ(くま)と眼瞼下垂改善のための治療を行う予定です。治療の順番は、目の下のクマ(くま)改善のための下眼瞼形成術を最初に行いました。その理由は眼瞼下垂症状の要因として、下眼瞼の不具合が少なからず関与しているためです。つまり下眼瞼形成術にてこの不具合を解消することで、ある程度眼瞼下垂症状が改善することが予想され、その改善具合を見極めてから上眼瞼アプローチによる眼瞼下垂改善治療を行うほうが、より良好で自然な結果が得られる可能性が高いからです。
治療後の評価
治療直後の写真-3,4を観察すると、腫れはほとんどありません。治療翌日の写真-5,6を観察すると軽度の赤みを伴うものの、腫れは了解可能範囲内です。治療7日目の写真-7,8を見ると眼輪筋部(いわゆる”涙袋”)が依然腫脹しているため、目の下がやや深く見えますが、これは一時的な症状です。治療14日目の写真-9,10を見ると、治療7日目に出現した症状はほぼ解消され、良好な結果が得られ始めています。また眼瞼下垂症状や、左上眼瞼の凹み症状もある程度改善したことがわかります。こういった改善傾向は治療1ヶ月後、さらに6ヶ月後まで期待されます。
