診察
目の下の脂肪量:中等度
目の下の色素沈着:なし
過去の治療経験:なし
経過
目の下のクマ(くま)、たるみを改善する目的で来院されました。
治療方針
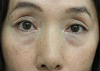
治療前の写真-1,2のごとく、目の下のくま、たるみ症状を認めます。
治療後の評価
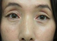
治療1ヶ月後の写真-3,4を見ると、目の下のくま、たるみがほぼ改善しています。
この症例では脂肪滴出量は年齢を考慮してやや控えめにしておりますが、十分良好な結果が得られました。
オリジナルEYEデザイン
目の下の脂肪量:中等度
目の下の色素沈着:なし
過去の治療経験:なし
目の下のクマ(くま)、たるみを改善する目的で来院されました。
治療前の写真-1,2のごとく、目の下のくま、たるみ症状を認めます。
治療1ヶ月後の写真-3,4を見ると、目の下のくま、たるみがほぼ改善しています。
この症例では脂肪滴出量は年齢を考慮してやや控えめにしておりますが、十分良好な結果が得られました。

Follow us •••••