診察
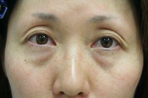
治療前写真-1,2で認められるように、典型的な目の下クマ(くま)を認めます。症状はやや右>左です。最近になって症状が悪化したのは、下眼窩脂肪の前方膨隆(突出)、いわゆる目の下のたるみ症状が併発したことが原因です。
経過
以前から目の下のクマ(くま)に悩まされていましたが、最近特に症状が強くなり他院を受診したところ、この治療を専門的に行う当クリニックに紹介され来院した患者さんです。
治療方針
目の下のクマ(くま)、たるみ症状の原因である下眼窩脂肪の軽減、及び下眼瞼構造の改善を図るべく、目の裏側から経結膜的下眼瞼形成術を施行しました。
治療後の評価
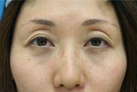
治療直後の写真-3,4の如く、局所麻酔剤の影響で一時的な皮膚の白色変化を認めますが、腫れは最小限度に留まっています。治療翌日の写真-5,6を観察すると、治療後の腫れもほとんど認めません。治療1ヶ月後の写真-7,8を見ると、軽度の下眼瞼皮膚の色素沈着を認めます。治療12ヶ月後の写真-9,10を観察すると、治療前に存在した目の下のクマ(くま)がほぼ解消されています。
また治療前写真と比較すると明らかに上眼瞼の陥没症状や眼球突出症状が緩和され、優しく落ち着いた目元に改善されました。この効果は下眼瞼構造上の不具合を修正したため、その影響が上眼瞼に及んだためです。この状態をわかり安く説明すると、治療前は下眼瞼構造の不具合のため、眼球収束場所(ソケット)が窮屈で収まりが悪く、眼球が前方突出するように作用していたからです。また上眼瞼陥没症状は同様の問題が原因で、眼球がやや上転傾向となり、上眼瞼組織がその奥に入り込んでいたためです。こういった上眼瞼症状はそこに原因があるのではなく、下眼瞼に原因があり、その原因を解消することで上眼瞼症状の解決にも結びついたのです。
