診察
目の下のクマ(くま):色素沈着あり。
目の下の脂肪量:少量 右=左
蒙古ひだ:なし。
眼球突出:なし。
身体所見上:特に異常なし。
治療経験:なし。
経過
目の下のクマ(くま)治療のカウンセリングに来られました。患者様の訴えによると、目の下のクマ(くま)は小学校2年生(7歳児)の頃から気になっていたそうです。その頃からお母さんのお化粧を借りて、目の下のクマ(くま)を隠していたそうです。現在まで17年間、悩んでいた目の下のクマ(くま)を少しでも改善する方法がないか探し続けていたところ、当クリニックのホームページを見つけ来院されました。
治療方針
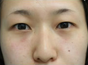
写真-1~4を観察すると、目の下のクマ(くま)が存在します。
目を上転させた写真-5を見ると目の下に膨らみが現れ、過剰脂肪の存在がはっきりとわかります。この過剰脂肪が目の下のクマ(くま)を強調させています。この症例の目の下のクマ(くま)の改善は、目の裏から行う目の下のクマ(くま)、たるみ治療が最適です。
治療後の評価
治療直後の写真-6,7を見ると、治療直後から目の下のクマ(くま)が改善されています。除去脂肪を観察すると、通常よりオレンジの色調が濃くなっています。
皮下にこのように色調の濃い脂肪が存在した場合、この脂肪に光が吸収率されて目の下の皮膚が黒く見えます。
つまり、一般的に色素沈着が原因と思われる目の下のクマ(くま)も、実は目の下に存在する過剰脂肪が原因である場合が少なくありません。
治療2日後の写真-8,9を見ると全体的にむくみが認められますが、治療前に認められた目の下のクマ(くま)はほぼ消失しています。
左目下をよく観察すると、やや青みがかった色調を認めます。これは治療後に軽度の内出血が発生したものです。このような軽度の内出血は約1%(100人の患者さん中1人程度)の確率で起こるようです。
この変化は約1週間程度で自然に消滅しますが、気になる場合はファンデーションやコンシーラーで隠しておくと良いでしょう。
治療4週間後の写真-10~14を確認すると、治療前に存在した目の下のクマ(くま)、たるみは改善したことがわかります。
特に治療後眼球上転時拡大写真を見ると、治療前に存在した色素の濃い脂肪が除去された結果、目の下のクマ(くま)が大幅に消失しています。
今後は目の下の皮膚のスキンケアを行うことで、皮膚に残った色素沈着を少しでも薄くすると、さらに良い結果が期待できるでしょう。
