診察
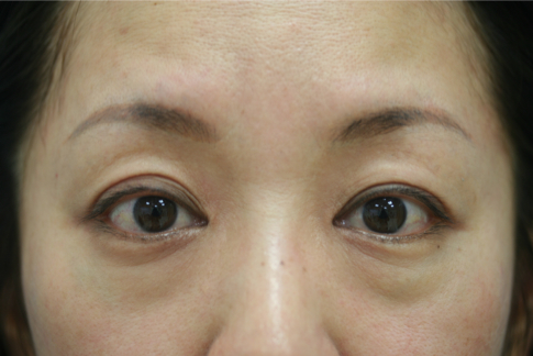
写真-1,2で観察される如く、典型的な目の下のクマ(くま)を認め、その程度はは右<左です。また両下眼瞼にはこの症状に伴うハの字に延びるしわが認められます。また下眼窩脂肪前方逸脱に伴い、相対的に上眼瞼の凹みも伴っています。
経過
数年前から目の下のクマ(くま)が気になり、ホームページで当クリニックを知り来院しました。
治療方針
これらの症状改善を図るため、経結膜的下眼瞼形成術を行うことにしました。
治療後の評価
治療直後の写真-3,4では大きな腫れは認めまず、無難に終了しています。治療3日後の写真-5,6でも腫れは最小限です。治療1週間後の写真-7,8を見ると、眼輪筋(いわゆる”涙袋”)の腫脹と右白目に軽度発赤を認めます。
治療1ヶ月後の写真-9,10を観察すると眼輪筋の腫れも収束し、良好な結果が得られています。治療前、目の下のクマ(くま)症状と併発していた目の上の凹みと下眼瞼にハの字に伸びるしわも大幅に改善しました。今後色素沈着解消のためのスキンケアを行うと、治療結果はさらに良好なものとなるでしょう。
