診察
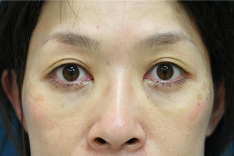
療前写真-1,2の如く、典型的な下瞼(目の下)のクマ(くま)症例ですが、その原因は下眼窩脂肪の前方突出(膨隆)が下瞼皮膚の色素を強調させているためです。
経過
以前より下瞼(目の下)のクマ(くま)症状が存在し、知人の紹介で来院した患者さんです。
治療方針
経結膜的(目の裏側から行う)下眼瞼形成術にて下瞼膨隆の解消を図り、クマ(くま)症状の大幅な軽減を図りました。
治療後の評価
治療直後の写真-3,4を見るとほとんど腫れもなく、治療は無難に終了したことがわかります。治療翌日の写真-5,6は、治療後の腫れは軽度の赤みを伴いやや右>左ですが最小限度です。
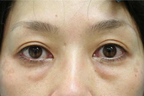
治療1週間後の写真-7,8を見ると、眼輪筋(涙袋)の腫脹により下瞼が深くなりクマ(くま)症状が残存しているように見えたり、また下瞼全体が軽度内出血からの回復で黄色みを帯びていますが、こういった症状は時間の経過とともに改善してゆきます。
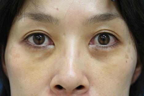
治療3週間後の写真-9,10を観察すると、治療1週間後の症状はほぼ解消されました。治療2ヶ月後の写真-11,12を見ると治療前に存在した下瞼(目の下)のクマ(くま)はほぼ解消され、自然で健康的な目元が得られました。
眼瞼・眼球が大きい方に下瞼の悩み(クマ、たるみ)が生じやすい印象もありますが、適切な治療を行うと本症例の如く十分良好な結果が得られます。治療2ヶ月後にやや残存する色素沈着やしわ症状に対しては、今後スキンケアを行うと更なる改善効果が見込まれるでしょう。
