診察
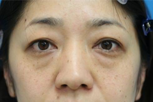
治療前写真-1,2を観察すると、右<左の目の下のクマ(くま)を認めます。目の下のクマ(くま)が最近気になり始めたのは下眼窩脂肪が膨隆し、同所症状(下眼瞼皮膚の色素沈着)に加え、目の下のたるみ症状が出現したことが原因です。下眼瞼皮膚の色素沈着は、元々お持ちのアレルギー性皮膚炎がその背景にあるようです。
経過
最近急に目の下のクマ(くま)、たるみ症状が気になっていたそうです。知人の紹介にてこの症状の改善余地を求め、当クリニックを来院しました。
治療方針
目の下のクマ(くま)症状を強調している下眼窩脂肪膨隆の軽減目的に、目の裏側から行う下眼瞼形成術(経結膜的下眼瞼形成術)を行いました。
治療後の評価
写真-3,4の如く治療直後の腫れは了解可能範囲ですが、左目斜め下方に延びた治療直後のしわ(皮膚線条)を患者さんは帰宅前に気にされていました。このしわはあくまで一時的で、通常治療後数時間以内に解消されます。
治療翌日の写真-5,6を見ると、治療直後に認められた左下眼瞼のしわは解消されています。また内出血等もなく腫れも最小限に留まっています。
治療7日後の写真-7,8では下眼瞼直下に存在する眼輪筋(いわゆる”涙袋”)が腫脹しているため、下眼瞼がやや深く見えますが、この状態は眼輪筋(いわゆる”涙袋”)腫脹が解消される治療1ヶ月後にはほぼ解消されるはずです。
治療1ヶ月後の写真-9,10を観察すると眼輪筋(いわゆる”涙袋”)の腫れはほぼ収まり、良好な結果に向かい始めています。
治療3ヶ月後の写真-11,12を観察すると、治療前の目の下のクマ(くま)症状は大方解消されました。今後更なる症状の自然回復を6~12ヶ月ほど待ちながら、必要であれば、漂白剤やレーザーによるスキンケアで下眼瞼色素の色素沈着を軽減するとよいでしょう。
この治療は目の下のクマ(くま)、たるみの解消を主目的で行いますが、その補助効果として目元の印象アップ効果が得られます。この症例でも治療前写真を見るとわかるように、下眼瞼構造の不具合が原因でやや”にらみ”のきいた目つき印象を与えます。しかし治療3ヶ月後の写真を見ると、この治療により下眼瞼構造の不具合が解消された結果、目元に余裕がある優しい目つきに改善されています。
この治療に人気があるのは、目の下のクマ(くま)、たるみ症状のみならず、このような目元の美しさがアップする効果が得られるためです。
