診察
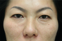
療前写真-1,2を観察すると、過剰ヒアルロン酸注入により目の下の”ハの字”部位が膨らんでいます。同時にこのヒアルロン酸注入効果で”ハの字”が消えているため、目の下のクマ(くま)はさほど目立ちません。しかし客観的に見ると、注入物による不自然さが残存しています。ヒアルロン酸注入前写真は取得できず、注入前の状態は把握不可能ですが、下眼窩脂肪量は少なく、目の下のたるみというよりも、下眼瞼構造の不具合による目の下のクマ(くま)がやや目立つ状態と推測しました。
経過
目の下のクマ(くま)が気になり、1年以上前に目の下のいわゆる”ハの字”部位にヒアルロン酸を注入しました。しかし治療結果に満足出来ず、ヒアルロン酸等の注入ではなく、根本的な症状改善を求め当クリニックに来院しました。
治療方針
本人の希望もあり、目の下のクマ(くま)改善を試みて、下眼瞼形成術を行うことにしました。必要であれば、後日過剰ヒアルロン酸を、ヒアルロン酸分解酵素で溶解させる予定です。
治療後の評価
治療翌日の写真-3,4を見ると、治療後の腫れは了解可能範囲で収束しています。この患者さんは海外在住のため、治療1週間後や治療1ヶ月後の写真撮影が行えませんでした。治療9ヶ月後の写真-5,6を観察すると、ヒアルロン酸注入の少ない左目は良好な結果が得られましたが、右目内側には依然過剰ヒアルロン酸が残存しています。
この右目の過剰ヒアルロン酸は次回帰国した際にヒアルロン酸分解酵素で溶解させる予定です。
この症例からわかるように、下眼瞼へのヒアルロン酸注入は、必ずしも良い結果を生むとは限りません。もし注入するのであれば、慎重な姿勢で、ごく少量から注入すべきでしょう。
ヒアルロン酸の吸収速度は注入部位により異なります。口元のほうれい線など、動く部分へのヒアルロン酸注入では、3~6ヶ月程度で吸収されることが一般的です。
しかし、下眼瞼のようにあまり動かない部分へのヒアルロン酸注入では吸収速度は極度に遷延し、注入後2~3年経過しても残存していることが多いようです。
