診察
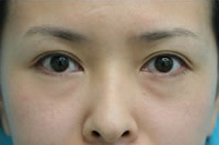
写真1~4のように両側の目の下の内側目頭側から中心にかけて、軽度の脂肪脂肪蓄積を認めます。
目の周囲には明らかな色素沈着は認めないが、脂肪蓄積によって目の下のクマ(くま)、たるみが気になる状態と判断されました。脂肪蓄積は左側に右よりも多く認められました。
経過
数年前から目の下のクマ(くま)、たるみが気になり、ホームページを見て当クリニックを受診されました。
治療方針
年齢が30歳と若いですが、今後目の下のクマ(くま)、たるみはさらに悪化してゆくと思われます。目の下の皮膚にしわも少なく、目の裏からの脂肪除去治療が非常に有効な 症例と言えます。
ご本人もこの治療を強く希望していたため、治療を行う事にしました。
治療後の評価
治療直後の写真5、6を見るとわかるように、両側目頭から中心にかけて認められた脂肪が除去され、たるみが改善されているのが一目瞭然です。治療直後は局所麻酔に含まれた血管収縮剤の影響で白色化していますが、これは治療後1時間で元の状態に戻ります。目の下まぶたの赤みも認めますが、数時間で元に戻るのが一般的です。治療直後の拡大写真6を見るとわかるように、目の内側から中心にかけて、過剰脂肪の存在した場所がややくぼんだ印象があります。しかし、これは数日のうちに皮膚の弾力性によって、平坦化するのが一般的です。目の下から除去された脂肪量は、下記のようにほぼ同量でした。
治療2日後の写真7、8を観察すると、両目眼輪筋(涙袋)のむくみを認めます。左目の下は薄化粧しているのは、治療後に発生した皮膚の下の軽度の着色を覆うためと思われます。ご本人曰く、やや赤みがあるので、メイクアップしているとのことでそのまま写真撮影を行いました。
治療7日後の写真9~12では左目の赤みはほぼ改善していると思われます。まだ眼輪筋(涙袋)の軽度のむくみを認めるものの、大方の腫れやむくみは一週間で落ち着いたと言えます。治療後2~3週間後にはこれらのむくみも完全に消えることが予想されます。
13-16(治療後一ヶ月)を見てわかるように、眼 輪筋(涙袋)のむくみは治療一週間の時よりも改善し、ほぼ正常範囲に戻ったことがわかります。ご本人は長年持ち続けていた目の下のクマ(くま)、たるみの悩みから解放され、大変喜んでいらっしゃいます。
治療後4ヶ月の写真17-20をご覧ください。4ヶ月経過し、目の下のむくみ等は完全に消えたと言えます。この写真を見るとおわかりのように、適切な量の脂肪を丁寧に均一に除去すると、決して目の下が窪んだりすることはなく、自然な感じの出来上がりとなりますので、ご安心ください。
