診察
余剰脂肪 右= やや<左、下眼瞼の色素沈着+
経過
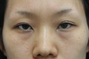
27歳女性、思春期頃から目の下のクマ(くま)が気になっていたそうです。症状改善を求めて当クリニックに来院しました。
既往歴:二重埋没法(15歳、20歳)
生活習慣:喫煙+(10本/日)
治療方針
写真-1,2の如く、目の下のクマ(くま)を認めます。この症例は喫煙習慣があるため、下眼瞼に色素沈着が存在し、下眼瞼構造の不具合によりこの色素沈着が目立っている状態と診断しました。当クリニックで行う経結膜的アプローチによる目の下くま(クマ)、たるみ治療(下眼瞼形成術)にて、下眼瞼構造の不具合を解消する治療を行うことにしました。
また、過去に行った上眼瞼埋没法がすでにはずれているため、再治療を追加することにしました。
二重幅は左右それぞれ内側から(8,10,10)mmとしました。
写真-1,2(治療前正面とその拡大)
治療直後の写真-3,4を観察すると、目の下のクマ(くま)、たるみ治療とともに上眼瞼埋没法を追加したため、通常より腫れが目立ちます。
写真-3,4(治療直後正面とその拡大)
治療翌日の写真-5,6を観察すると、上眼瞼の腫れは引いていますが、下眼瞼が治療直後より腫れています。
写真-5,6(治療翌日正面とその拡大)
治療1週間後の写真-7,8では上下とも腫れは解消されていますが、目の下の色素沈着も一時的に濃くなったように見えます。
写真-7,8(治療1週間後の正面とその拡大)
治療1ヶ月後の写真-9,10を観察すると、目の下の色素沈着も治療前より改善され、良好な結果が得られ始めました。
写真-9,10(治療1ヶ月後正面とその拡大)
下の治療前後の写真を比較すると色素沈着は依然残存するものの、目の下のクマ(くま)が大幅に解消されています。今後色素沈着を解消するには禁煙および漂白剤等によるスキンケアが有効です。
治療後の評価
いわゆる”目の下のたるみ”(下眼瞼過剰脂肪の前方脱出)は”脱脂”治療により改善されますが、この症例の如くいわゆる”目の下のクマ(くま)”は”脱脂”治療では改善されません。
その理由は目の下のクマ(くま)症例の場合、そもそも下眼瞼過剰脂肪の前方脱出が原因ではなく、下眼瞼構造の不具合により目の下の色素沈着や影が目立つ状態を言うからです。
またこういった症例にむやみに”脱脂”を行うと、へこみや窪みなどの弊害をもたらす恐れがあります。したがって、目の下のクマ(くま)治療はこの治療の専門的に行う医師が、慎重な診断の元に適切な治療を行うことが極めて重要です。
目の下のクマ(くま)治療はいわゆる”脱脂(脂肪除去)”を積極的行わず、下眼瞼構造の不具合(皮膚の下垂)を改善すべく、皮下組織の解離操作を行います。この手法により下眼瞼皮膚が挙上され、目の下のクマ(くま)が大幅に改善されます。
また”脱脂(脂肪除去)”はほとんど行わないため、へこみや窪みなどの発生は回避されます。
