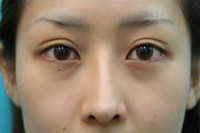
診察
若年でありながら、確かに目の内側から真ん中にかけて色素沈着が主体となる“目の下のクマ(くま)”を認めます。
この症例(写真1~4)は目の内側から真ん中にかけて存在する軽度の脂肪が目の下の色素沈着を濃く見せている典型症例です。目の内側から下方にハの字に伸びるラインは、いわゆる“ゴルゴ線”と呼ばれるあまり好ましくないものですが、このラインも目の下の脂肪が原因でやや目立っていると言えます。
患者様にはこの治療はあくまで過剰脂肪を適切に除去することで、現状よりも改善させるこであって、決して色素沈着自体を改善するのではないことを説明しました。その上で、治療を望むか確認したところ、治療を希望するとのことでした。
従って、この患者様には目の裏からのアプローチによる目の下の脂肪除去と、皮膚たるみ改善術を行うこととしました。
経過
10代から存在する目の下内側から真ん中にかけて存在する“目の下のクマ(くま)”が気になる患者様です。これまでいろいろなスキンケア治療をおこなってきましたが、目の下のクマ(くま)はいっこうに改善されなかったとのことです。例えば、あるクリニックでの診断はいわゆる“血行不全によるくま”との診断で、血流改善のための治療をおこなってみましたが、著しい効果は無かったとのことです。さまざまなクリニックの治療をインターネット上で検索し、当クリニックを見つけて今回治療効果の有無についてカウンセリングにお越しいただきました。
治療後の評価
治療直後の写真5、6では脂肪除去量が軽度なため、明らかな改善効果をこの時点では認めていません。局所麻酔剤に含まれている血管収縮剤のため、目の下が白くなっている以外に主な変化は認めていないように見えます。
しかし、治療後1日目(写真7、8)治療後2日目(写真9、10)、治療後3日目(写真11、12)を見るとわかりますように、日を追うごとに腫れが引き、症状の改善が認められています。治療後3日目にはすでに眼輪筋(涙袋)が現れ始めていて、良い結果が出ることが予想されます。
治療一週間後(写真13、14)ではほぼ結果が落ち着き、治療前に存在した濃く強調されていた目の下のクマ(くま)は、脂肪除去によって皮膚が平らになるので、色素沈着が目立たなくなりました。さらに、目の下の皮下組織を前に持ち上げて脂肪を除去したので、目の下の皮膚のたるみが改善し、涙袋がはっきりした分、目が可愛らしくなった印象もあります。
確かに、治療前と比較しても完全に色素沈着が改善してはおりません。しかし、客観的に色素沈着が幾分か目立たなくなっただけでも本人は大変満足されており、“あとは化粧をしたらばっちりです。”とのコメントを頂きました。
この治療は目の下のクマ(くま)、たるみ治療として、決して完璧だとは思いません。また、このような若い女性に対して、この治療を行うのはやり過ぎという意見もあるかもしれません。しかし、傷跡を残すことが無いこと、目に対する安全が保証されている限り、それは過剰治療とは言えません。むしろ本人のコンプレックスが解消されるのであれば、適切な治療と言えます。
治療後の写真のように、客観的にある程度症状が改善し、本人が満足していただけるのであれば、この治療の価値はあると判断しております。
治療後1ヶ月の写真15~18を観察すると、治療後1週間後にやや腫れていてたいわゆる”涙袋”(眼輪筋)は正常レベルまで戻ったと言えます。
今回の治療摘出した脂肪量を見るとわかるように、通常の3分の1程度と少量です。しかし、本人の悩みであっための目の下の内側から真ん中にかけての黒っぽい色素沈着は改善したと言えます。
この治療は色素沈着を取り除く治療でありませんが、目の下が平らになったことで明らかに色素沈着が目立たなくなったのです。さらに目の下の脂肪を除去する際に、皮下組織に刺激を与えることで目の下の皮膚をリフトアップさせることに成功しました。この目の下の皮膚リフトアップも効果もこの治療の重要な効果と言えます。
