経過
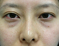
幼少時代から存在した目の下のクマ(くま)、たるみが気になり当クリニックを来院しました。
目の下のクマ(くま)、たるみの量 右>左
治療方針
治療前写真-1,2の如く、目の下のクマ(くま)、たるみを認めます。また上眼瞼を観察すると、軽度眼瞼下垂症を認めます。両症状を解消するための、目の裏側から行う目の下のクマ(くま)、クマ治療(経結膜的下眼瞼形成術)を行いました。
治療後の評価
治療翌日の写真-3,4を観察すると、腫れはほぼ了解可能範囲内程度でした。治療2日後の写真-5,6を観察すると、すでに腫れは解消傾向にあります。治療10日後の写真-7,8を観察すると、腫れはほぼ解消されたものの、目の下の色素沈着(くま、クマ)が依然存在しています。この色素は治療後の一時的な炎症によるもので、時間の経過とともに自然に解消されることが一般的です。治療1ヶ月半後の写真-9,10を観察すると、目の下のクマ(くま)、たるみは、ほぼ解消されました。依然、下眼瞼に軽度色素沈着を認めますが、今後漂白作用のあるスキンケア治療が有効でしょう。
この症例は23歳と若年であるにもかかわらず、やや眼瞼下垂傾向を認めています。しかし目の下のクマ(くま)、たるみの解消目的で行った下眼瞼形成術により、同症状のみならず、眼瞼下垂症が改善したことがわかります。
眼上下は眼球を包む結合組織を通して連続しています。つまり、下眼瞼構造の不具合は上眼瞼にまで影響を及ぼし、本症例の如く眼瞼下垂傾向をもたらしています。したがって、目の下のクマ(くま)、たるみを引き起こしている下眼瞼構造の問題点を解消することで、眼瞼バランスが正常化され、眼瞼下垂など上眼瞼の不具合も解消されることが、過去に行った多くの症例から証明されています。
