経過
知人の紹介にて軽度のクマ、たるみの改善を求めて来院した中国人女性です。
診察
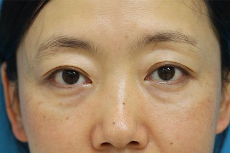
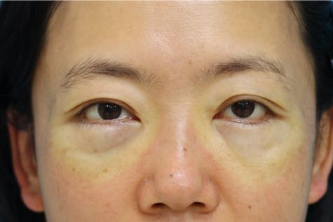
治療前写真1,2を見ると、目の下に伸びる、所謂”ハの字”が特徴的な下瞼の症状で、その程度はやや右<左です。
治療方針
当クリニックオリジナルの下瞼クマ、たるみ治療を行いました。
治療後の評価
治療直後の写真3,4を見ると、麻酔の影響でやや腫れていますが、治療は問題なく終了しました。
治療翌日の写真5,6を見ると、治療後に典型的な左右対称性の腫れを認めますが、内出血は全くありません。
治療7日後の写真7,8を見ると、治療直後の腫れは解消されましたが、下瞼直下、眼輪筋の腫れが目立ちます。
治療1ヶ月後の写真9,10を見ると、眼輪筋の腫れが引いて、良好な結果が得られ始めました。
治療3ヶ月後の写真11,12を見ると、治療後の腫れはほぼ解消されたものの、所謂”Tear trough(涙溝)”が以前残存しています。
治療後12ヶ月の写真13,14では、治療3ヶ月後に気になっていた”Tear trough(涙溝)”も大幅に解消され、適切な結果が得られました。
まとめ
本ケースは、40前後の女性眼周囲に典型的に見受けられる下瞼の軽度クマ、たるみ、及び上眼瞼の凹み、軽度眼瞼下垂症状を有していますが、症状が軽微なだけにこの程度では外科的治療に踏み切ることは少ないはずです。
しかし本治療は、皮膚切開を伴わずに下瞼結膜面からアプローチし、上記経過のようにダウンタイム(治療後の回復期間)も比較的短く、治療した痕跡(下瞼・皮膚切開痕)を全く残さず、治療12ヶ月後には下瞼症状のみならず、上眼瞼症状、特に眼瞼下垂症が改善され、目元の印象が不自然さを伴わず若返ったことが分かります。
このように下瞼は眼窩の奥で連続した上眼瞼に少なからず影響を及ぼすため、下眼瞼にクマ、たるみをもたらす解剖学的加齢変化が発生すると、その悪影響が上眼瞼に波及し、上眼瞼症状(凹み、下垂)をもたらします。逆に申しますと、加齢による下眼瞼の解剖学的不具合を解消すると、その好影響が間接的に上眼瞼に反映し、本症例の如く上眼瞼の若返りまで得られることが少なくありません。
尚、”Tear trough(涙溝)”の更なる改善を求める場合は、同部位へのレーザー治療による皮下組織瘢痕を保湿効果により平坦化するため、一度のみ少量ヒアルロン酸注入が大変効果的でしょう。
