経過
軽度の下瞼たるみ症状が気になり、この問題解決のため当クリニックにご来院したお客様です。
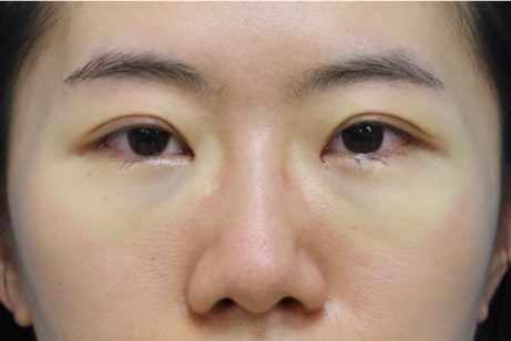
診察
治療前写真-1,2では軽度〜中等度の下瞼たるみを認め、症状は右<左であること、また本症例の特徴として下瞼外側に余剰脂肪が存在します。
治療方針
下瞼のクマ解決を求めて下眼瞼形成術を行うことにしましたが、当治療により上眼瞼下垂症も二次的効果による改善もある程度期待できると判断しました。
治療後の評価
治療直後の写真-3,4では治療部位が局所麻酔剤の影響で眼周囲に白っぽく見えますが、顕著な腫れもなく治療は無事終了しました。
治療翌日の写真-5,6を観ると両下瞼が膨張していますが、明らかな内出血所見は認めませんでした。
治療1週間後の写真-7,8では治療翌日に認めた腫れもほぼ解消され、自然な回復経過を示しています。
治療1ヶ月後の写真-9,10を観ると、涙袋(眼輪筋)に軽度な腫れを伴いながらも順調に回復しています。
治療3ヶ月後の写真-11,12ではほぼ全体的な腫れは解消され、この時期になって良好な結果が得られ始めました。
治療6ヶ月後の写真-13,14では、治療前に認められた上瞼生理的眼瞼下垂もある程度改善され、対称性のある目元が得られました。
治療1年後の写真-15, 16では上下瞼ともに安定した結果が得られ、すなわち下瞼のクマと上瞼眼瞼下垂が解消された結果、自然でバランスの良い目元が得られました。
まとめ
本症例の目元症状(下瞼のクマと生理的眼瞼下垂症)は、若年性(20〜30歳)世代にしばしば認められる症状で、本症状を持つ若者たちは我々の想像する以上に劣等感に苛まれると思われ、手術以外(スキンケア、サプリ、マッサージ、エステ等)の治療を試みるも全く解決の糸口が得られず、悩みが深まるケースが多いようです。また、今回のように下瞼のみならず、上瞼症状まで認められる場合は尚更のこと苦悩を抱えていると予想されます。
しかし、当クリニックで行う経結膜下眼瞼形成術は、下瞼治療において従来まで不安の元凶であった皮膚切開に伴う傷跡(後遺症)の問題を100%回避出来、しかも下瞼のみならず上瞼症状までも解決出来る、画期的且つ安全な目元のコンプレックスを解消する治療法です。
